Bowel-GI - Perforated Viscus

← Back to List

Bowel-GI - Perforated Viscus

Caption

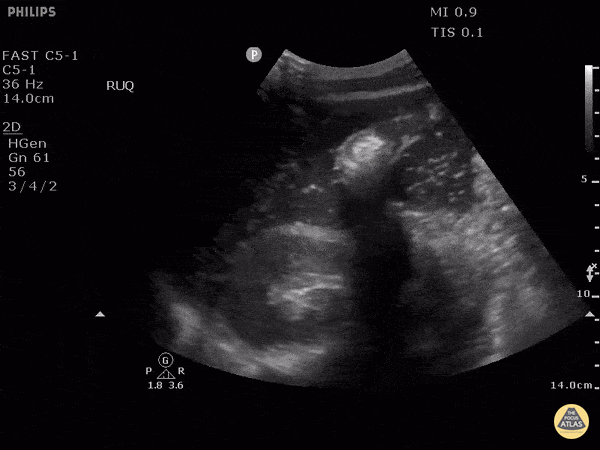
Patient presented with altered mental status, hypotension and a rigid abdomen. It was unclear at the time if this patient’s presentation was due to trauma. Right-upper quadrant ultrasound used to view for potential cause using the perihepatic window. Here we can see air within fluid and a hyperechoic peritoneal stripe, indicating a perforated viscus. In this case, due to a duodenal ulcer. Image courtesy of Robert Jones DO, FACEP @RJonesSonoEM Director, Emergency Ultrasound; MetroHealth Medical Center; Professor, Case Western Reserve Medical School, Cleveland, OH View his original post here

Source

https://www.thepocusatlas.com/bowel


Metadata