Renal/GU - Renal Cell Carcinoma At Inferior Pole

← Back to List

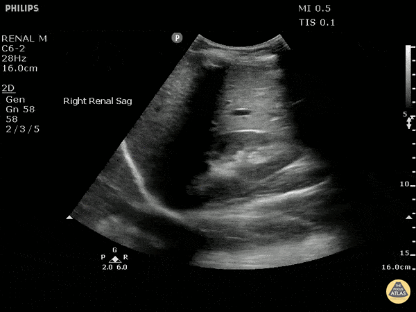
Renal/GU - Renal Cell Carcinoma At Inferior Pole

Caption

This patient presented with hematuria and flank pain. In this scan, you can see a visible circular mass along the inferior pole of the kidney with further testing later confirming presence of a renal cell carcinoma. Image courtesy of Robert Jones DO, FACEP @RJonesSonoEM Director, Emergency Ultrasound; MetroHealth Medical Center; Professor, Case Western Reserve Medical School, Cleveland, OH View his original post here

Source

https://www.thepocusatlas.com/renal


Metadata