Renal/GU - Penile Prosthesis Reservoir

← Back to List

Renal/GU - Penile Prosthesis Reservoir

Caption

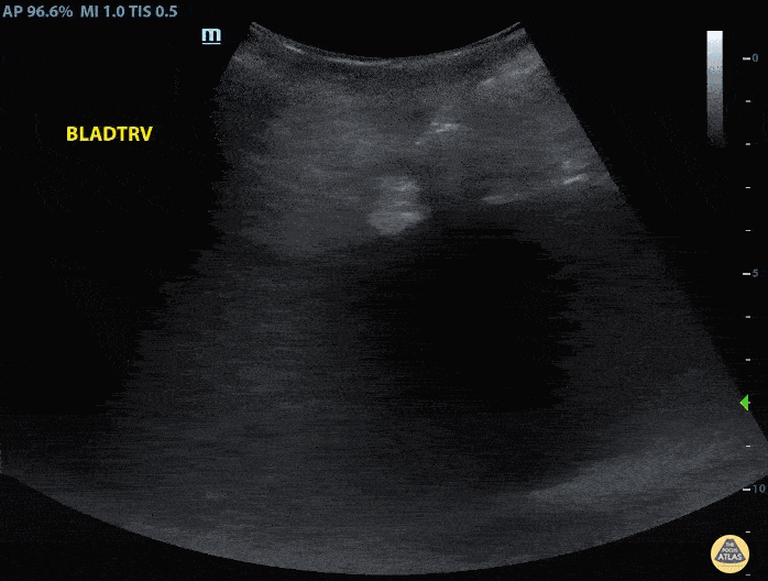
60s M presented to the ED sent in by PMD for evaluation of elevated BUN and Creatinine. POCUS performed with transverse view of the urinary bladder demonstrating discrete cystic structure on anatomic right with second circular, hyperechoic structure visualized. Structures are consistent with penile prosthesis fluid reservoir abutting the right anterior bladder. Findings confirmed on chart review of previous urinary bladder imaging. Hydraulic inflatable prostheses consist of two or three piece types. The three piece types (as pictured) consist of a pair of cylinders placed in each corpus cavernosum, a pump placed in the scrotum, and a reservoir placed adjacent to the bladder (1). Yahyavi-Firouz-Abadi N, Menias C, Bhalla S, Siegel C, Gayer G, Katz D. Imaging of Cosmetic Plastic Procedures and Implants in the Body and Their Potential Complications. AJR Am J Roentgenol. 2015;204(4):707-15. doi:10.2214/AJR.14.13516 - Pubmed Contributors: Joshua Taubman MD, Resident Physician - University at Buffalo Emergency Medicine, @UBEMSono

Source

https://www.thepocusatlas.com/renal


Metadata