Renal/GU - Two Stones, One Image

← Back to List

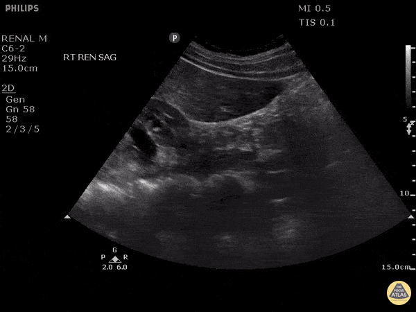
Renal/GU - Two Stones, One Image

Caption

Ultrasound clip demonstrating both cholelithiasis as well as obstructing stone in the ureter! Image courtesy of Robert Jones DO, FACEP @RJonesSonoEM Director, Emergency Ultrasound; MetroHealth Medical Center; Professor, Case Western Reserve Medical School, Cleveland, OH View his original post here.

Source

https://www.thepocusatlas.com/renal


Metadata