Renal/GU - Moderate-Severe Hydronephrosis

← Back to List

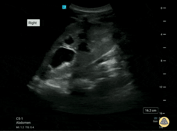
Renal/GU - Moderate-Severe Hydronephrosis

Caption

This is the right renal ultrasound of a 20 year old male with a past medical history of recurrent obstructing nephrolithiasis. There is a moderate to severe hydronephrosis present. with what appears to be some thinning of the renal cortex. Brittany Ladson, DO; Sara Schumbach, MD

Source

https://www.thepocusatlas.com/renal


Metadata