Renal/GU - Bladder Diverticula

← Back to List

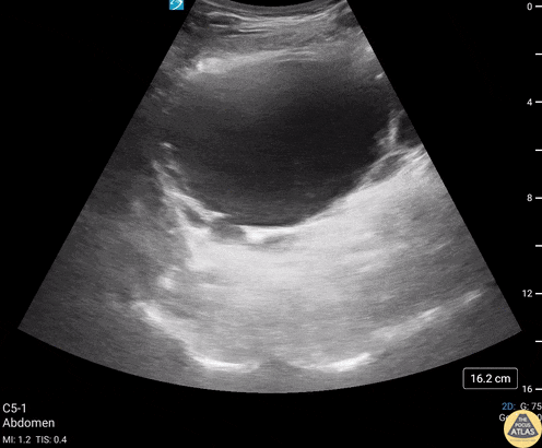
Renal/GU - Bladder Diverticula

Caption

82 year old male with history of subarachnoid bleed presented for evaluation after a fall. During a EFAST exam, bladder US revealed multiple, anechoic, cystic-appearing structures consistent with bladder diverticula (confirmed by CT). A bladder diverticulum is a protrusion of the mucosa through the muscular wall of the bladder and can be congenital or acquired. Acquired diverticula are more common, with bladder outlet obstruction being the most common cause. Urology follow up is recommended to confirm the cause and screen for other concerning etiologies or complications including carcinoma, recurrent UTIs and bladder calculi. Contributors: Michael Huber, 4th year Medical Student; Chad Bambrick, MD; Ana Camagay, MD Central Michigan University College of Medicine

Source

https://www.thepocusatlas.com/renal


Metadata