Renal/GU - Right Sided Emphysematous Pyelonephritis

← Back to List

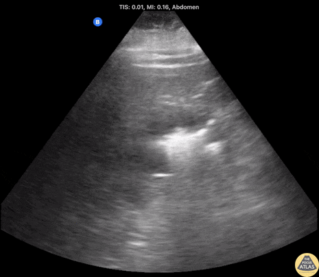
Renal/GU - Right Sided Emphysematous Pyelonephritis

Caption

60 year old female with poorly controlled diabetes. Initial CT showing R-sided pyelonephritis, US performed 12 hours later demonstrated development of emphysematous pyelonephritis noted by the hyperechoic areas with dirty shadowing seen within the renal parenchyma (indicative of gas). This was later confirmed on repeat CT imaging. Contributor: Shane Solger, MD Kings County/SUNY Downstate EM/IM

Source

https://www.thepocusatlas.com/renal


Metadata