Renal/GU - Large Renal Cysts

← Back to List

Renal/GU - Large Renal Cysts

Caption

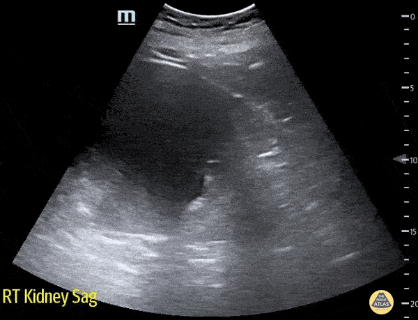
83 year old male presented to the ED for right flank pain. The renal ultrasound showed two right renal cysts. The superior renal pole cyst measuring 12 x 13cm. The inferior pole cyst measuring 4 x 5cm. Laura Schroeder, MS, MD; Syeda Zehra, MD; Conner Shea (Medical Student) Central Michigan University Emergency Medicine Residency

Source

https://www.thepocusatlas.com/renal


Metadata