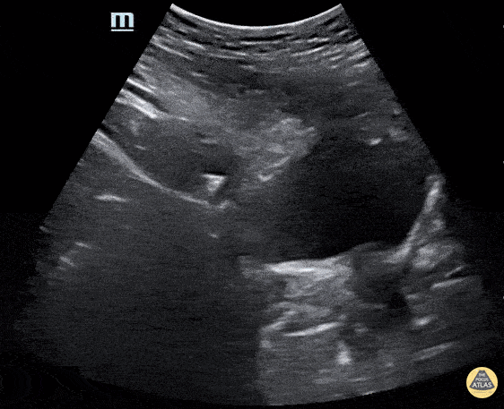
Renal/GU - UVJ stone with ureteral dilation

← Back to List

Renal/GU - UVJ stone with ureteral dilation

Caption

A young female presented with acute RLQ abdominal pain and found to have a 5mm right ureter stone at the UVJ with ureteral dilation. The patient also had moderate hydronephrosis. Matthew Petruso, DO; Harpreet Grewal, MD; Eric Versluis, MS4; Central Michigan University: Emergency Medicine Residency.

Source

https://www.thepocusatlas.com/renal


Metadata