Renal/GU - Moderate Hydronephrosis from Nephrolithiasis

← Back to List

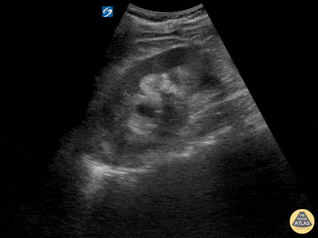
Renal/GU - Moderate Hydronephrosis from Nephrolithiasis

Caption

Here is an example of hydronephrosis in the presence of nephrolithasis. This patient presented to the emergency department complaining of new right flank pain after waking up in the morning. She was seen previously for urinary complaints, diagnosed with UTI and started on antibiotic regiment that had been altered twice due to concerns of sub-optimal coverage. She demonstrated right CVA tenderness on physical exam, raising suspicion for pyelonephritis as well as hydronephrosis. Subsequent point of care ultrasound revealed moderate hydronephrosis. CT was obtained to further evaluate and confirmed the presence of an obstructing kidney stone. Note presence of hydronephrosis as the probe is fanned/tilted through the kidney, highlighting the importance of scanning through the entire organ. Dr. Carlo Zamora, DO, PGY-1 Riverside Regional Medical Center Emergency Medicine Residency (Newport News, VA)

Source

https://www.thepocusatlas.com/renal


Metadata