Bowel-GI - Strangulated Hernia With Bowel Necrosis

← Back to List

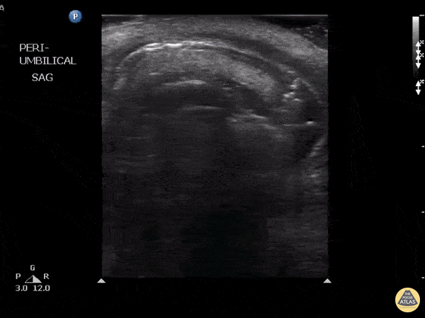
Bowel-GI - Strangulated Hernia With Bowel Necrosis

Caption

This patient presented with a known paraumbilical hernia however what should be noted here are is the lack of peristalsis as well as the presence of air in the within the wall of the bowel. These findings suggest that necrosis has resulted from strangulation of a hernia. Other findings with this diagnosis that could also be found include hyperechoic fat, fluid within the sac, thickening of the hernial sac, dilated bowel and edema within the walls. Image courtesy of Robert Jones DO, FACEP @RJonesSonoEM Director, Emergency Ultrasound; MetroHealth Medical Center; Professor, Case Western Reserve Medical School, Cleveland, OH View his original post here

Source

https://www.thepocusatlas.com/bowel


Metadata