Renal/GU - Bladder Diverticulum 2
Caption
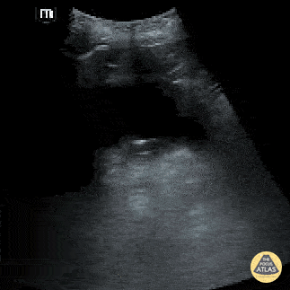
A bladder diverticulum is demonstrated deep to the bladder as the ultrasound probe is fanned. Contributed by: Brittany Garza, DO; Saleem Nasseh, MD; Sadie Ellerson, MS4
A bladder diverticulum is demonstrated deep to the bladder as the ultrasound probe is fanned. Contributed by: Brittany Garza, DO; Saleem Nasseh, MD; Sadie Ellerson, MS4