Renal/GU - Horseshoe Kidney Longitudinal

← Back to List

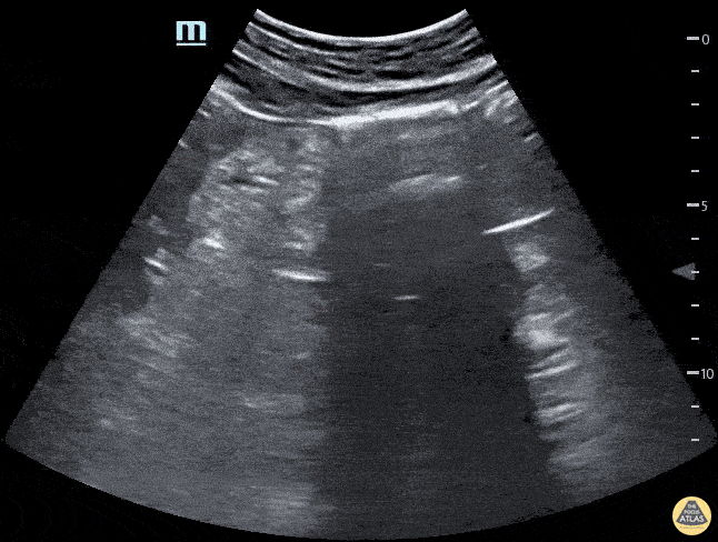
Renal/GU - Horseshoe Kidney Longitudinal

Caption

Horseshoe kidney. No kidney was identified in either flank area, this anterior abdominal view shows one large kidney that is anterior to the Aorta. Marion Memmott, DO; Michael Bernard, DO; Central Michigan University Emergency Medicine Residency

Source

https://www.thepocusatlas.com/renal


Metadata