Renal/GU - Horseshoe Kidney Transverse

← Back to List

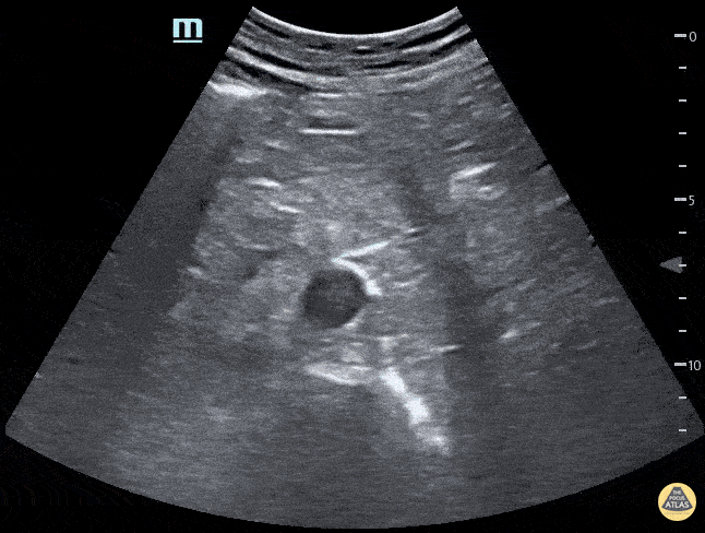
Renal/GU - Horseshoe Kidney Transverse

Caption

Horseshoe kidney. No kidney was identified in either flank area, this anterior abdominal view shows one large kidney that is anterior to the Aorta. Contributed by: Marion Memmott, DO; Michael Bernard, DO; Central Michigan University Emergency Medicine Residency

Source

https://www.thepocusatlas.com/renal


Metadata