Bowel-GI - Necrotizing Pancreatitis

← Back to List

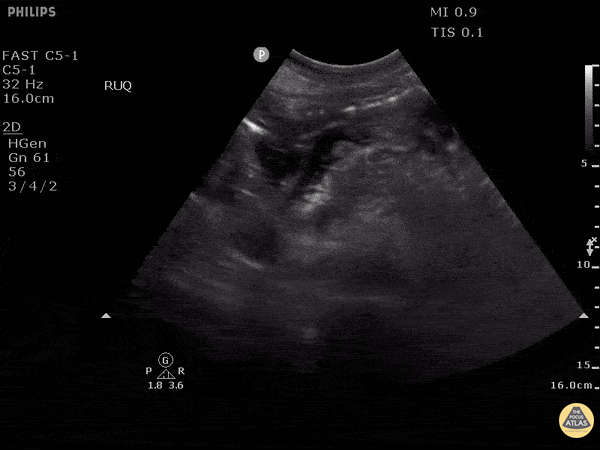
Bowel-GI - Necrotizing Pancreatitis

Caption

In this case an elderly patient presented with severe back pain and an ultrasound exam was performed to evaluate the aorta. Instead in this transverse view, the pancreas was identified which appears enlarged with surrounding fluid. Besides appearing enlarged, an important finding in this scan is the hypoechoic regions which are indicative of necrosis. Image courtesy of Robert Jones DO, FACEP @RJonesSonoEM Director, Emergency Ultrasound; MetroHealth Medical Center; Professor, Case Western Reserve Medical School, Cleveland, OH View his original post here

Source

https://www.thepocusatlas.com/bowel


Metadata