Pulmonary - Hospitalized COVID-19+ Patient on Day 9 of Symptoms [1/2]

← Back to List

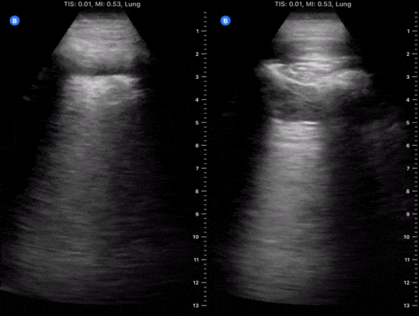
Pulmonary - Hospitalized COVID-19+ Patient on Day 9 of Symptoms [1/2]

Caption

These clips are taken from a patient admitted with COVID-19 pneumonia. The patient was on day 9 of symptoms. His cough had improved and fever resolved however he had hypoxia requiring supplemental oxygen. Left clip: Lung ultrasound of right lower lobe demonstrating thickened irregular pleura, diffuse b lines (confluent) with scattered puntate subpleural consolidation and small effusion overlying pleural effusion. Right clip: Lung ultrasound of right upper lobe demonstrating a moderate subpleural consolidation with air bronchograms present. Image courtesy of Fritz Fuller (@POCUS_Society)

Source

https://www.thepocusatlas.com/lung


Metadata