Pulmonary - B-lines in COVID-19 Versus CHF

← Back to List

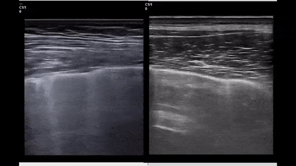
Pulmonary - B-lines in COVID-19 Versus CHF

Caption

This side by side ultrasound clip compares B-lines in a patient with COVID-19 (left) and a patient with CHF (right). While subtle, the difference lies where the B-lines connect to the pleura! In COVID-19 many of the B-lines initiate from depressed/irregular areas of the pleura (imagine little holes being punched in the pleural line) while in CHF, the B-lines initiate from a smooth pleural line. These pleural defects are not specific to COVID -19 and can be seen in other viral pneumonia as well. Take Home: Not all B-lines are created equal! Image courtesy of Dr. Marco Garrone (@drmarcogarrone)

Source

https://www.thepocusatlas.com/lung


Metadata