Pulmonary - A COVID-19 Patient with 3 days of Symptoms [2/3]

← Back to List

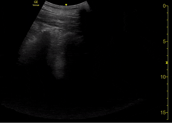
Pulmonary - A COVID-19 Patient with 3 days of Symptoms [2/3]

Caption

This is an ultrasound clip in a patient with confirmed COVID-19 pneumonia. The patient presented to the emergency department on day 3 of symptoms with fever. They were found to be tachypneic and with mild hypoxia. [Clip 2/3] Lung ultrasound demonstrates patchy B lines associated with thickening and irregularity of the pleural line. Image courtesy of Fritz Fuller (@POCUS_Society)

Source

https://www.thepocusatlas.com/lung


Metadata