Bowel-GI - Complicated Small Bowel Obstruction

← Back to List

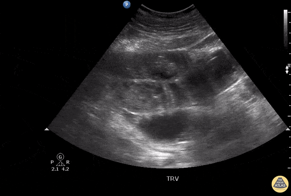
Bowel-GI - Complicated Small Bowel Obstruction

Caption

This patient presented with a painful abdomen with distention and absent bowel sounds. Key findings in this scan include ineffective peristalsis as well as colon diameter that exceed 2.5 cm. Anechoic regions suggest presence of fluid which raise concern for a complicated small bowel obstruction. Image courtesy of Robert Jones DO, FACEP @RJonesSonoEM Director, Emergency Ultrasound; MetroHealth Medical Center; Professor, Case Western Reserve Medical School, Cleveland, OH View his original post here

Source

https://www.thepocusatlas.com/bowel


Metadata