Pulmonary - The Light Beam Artifact in COVID-19

← Back to List

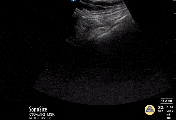
Pulmonary - The Light Beam Artifact in COVID-19

Caption

This lung ultrasound shows a "light beam" artifact, a single shining band-form from a regular pleura that appears and disappears with spontaneous respirations. Note also the presence of A-lines. This is highly specific of early COVID-19 infection as described by Volpicelli. Image courtesy of David Hansen, DO & Therese Mead, DO, RDMS, FACEP Central Michigan University Twitter handle: @davidbhansen

Source

https://www.thepocusatlas.com/lung


Metadata