Pulmonary - Hemothorax

← Back to List

Pulmonary - Hemothorax

Caption

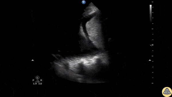
A male presented to the ED following a gunshot wound to the left chest. The perisplenic window of the FAST exam revealed a left hemothorax with a large subpleural area of clotted blood. Image courtesy of Robert Jones DO, FACEP @RJonesSonoEM Director, Emergency Ultrasound; MetroHealth Medical Center; Professor, Case Western Reserve Medical School, Cleveland, OH View his original post here

Source

https://www.thepocusatlas.com/lung


Metadata