Pulmonary - Subcutaneous Emphysema

← Back to List

Pulmonary - Subcutaneous Emphysema

Caption

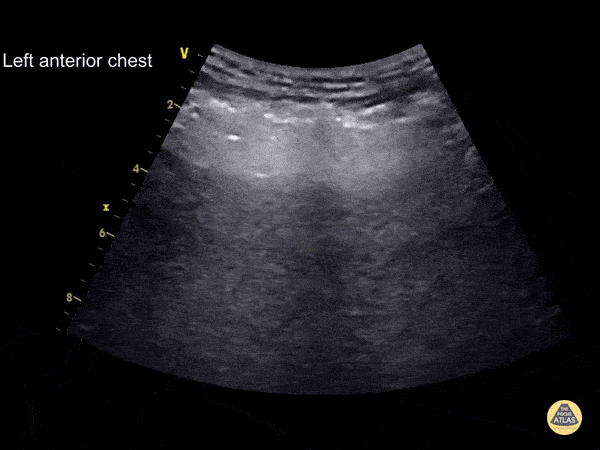
This patient fell 5m onto a slab of concrete. The curvilinear transducer was used for the EFAST survey of his left anterior chest wall Hyperechoic irregular lines are seen superficial to the ribs (E lines - subcutaneous emphysema). These arise from air trapped in the soft tissue under the skin and should not be mistaken for the pleural line. Subcutaneous emphysema obscures the rib shadow and pleural line that lie below it Learning point : the pleural line lies underneath the level of the ribs, subcutaneous emphysema lies above the level of the ribs This patient had a large left-sided pneumothorax and an intercostal drain was placed followed by a serratus anterior plane block for analgesia Dr. Cian McDermott - Dublin, Ireland

Source

https://www.thepocusatlas.com/lung


Metadata