Pulmonary - Pleural Effusion After Blunt Trauma

← Back to List

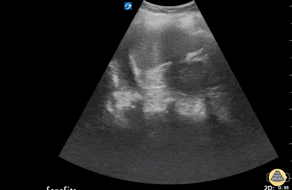
Pulmonary - Pleural Effusion After Blunt Trauma

Caption

55 y/o female complains of left sided chest pain with cough, SOB, and back pain. History of falls from 8-foot ladder (8 weeks ago) and from standing (2 weeks ago). With patient in supine, US of LUQ lung in coronal view demonstrated a hypoechoic fluid collection above the left hemi-diaphragm consistent with a L pleural effusion. It is important to scan above and below the diaphragm to differentiate free fluid in thorax vs fluid in subphrenic space. US is more sensitive than plain radiographs for detecting pleural effusion and can detect smaller amounts of fluid. Crozer Chester Medical Center. Raghav Sahni, Dr. Melissa Yu, Dr. Brenton Elliot, Dr. Max Cooper.

Source

https://www.thepocusatlas.com/lung


Metadata