Pulmonary - Malignant Effusion

← Back to List

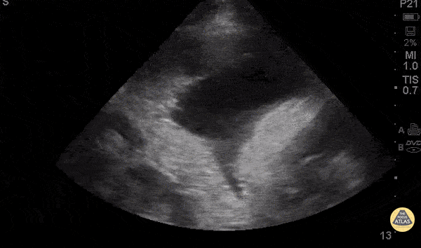
Pulmonary - Malignant Effusion

Caption

71 y/o F w/ hx of COPD/asthma, lung cancer on chemotherapy with recent admission for malignant pleural effusion (chest tube placed), presenting with for worsening cough/wheezing/shortness of breath for 1 day. No fevers or chest pain. The clip shows a large fluid collection in the left anterior chest with loculations and mediastinal shift to the right. Cardiothoracic surgery drained 2.7L of hemorrhagic pleural effusion. Dr. Vicky Lam - Kings County Emergency Medicine

Source

https://www.thepocusatlas.com/lung


Metadata