Pulmonary - B-lines and Effusion

← Back to List

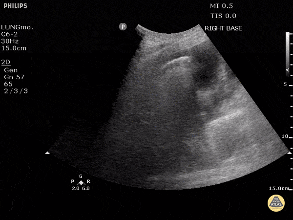
Pulmonary - B-lines and Effusion

Caption

To the left of the image, the lung can be seen clearly floating in anechoic fluid representing a pleural effusion. B-Lines can be seen radiating from the surface of the lung to the far left especially as this patient inspired. B lines (also known as comet tails) are white lines that emanate from the pleural surface of the lung. They have been shown to be highly sensitive for pulmonary edema. Justin Bowra MBBS, FACEM, CCPU Emergency Physician, RNSH et al.

Source

https://www.thepocusatlas.com/lung


Metadata