Bowel-GI - Ascites With Spider Web Sign

← Back to List

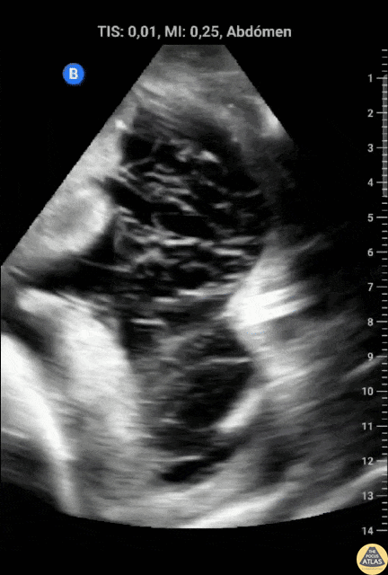
Bowel-GI - Ascites With Spider Web Sign

Caption

A 19 year old male, with hx of cocaine abuse presented to the ICU for respiratory insufficiency due to cardiogenic pulmonary edema. POCUS evaluation of the abdomen demonstrated ascites with Spider Web Sign, which is not expected in cardiogenic ascites. Because of this, peritoneal tuberculosis was suspected. It was later discovered that the patient had close contact with a person who was being treated for a confirmed tuberculosis diagnosis. Contributor: Dr. Alessandro Ferreira Hospital Metropolitano de Alagoas

Source

https://www.thepocusatlas.com/bowel


Metadata