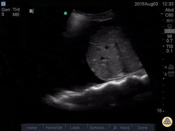
Pulmonary - Spine Sign

← Back to List

Pulmonary - Spine Sign

Caption

41 yo M with history of stage 4 lung cancer presents with AMS and dyspnea, normotensive and tachycardia in 140s. Right upper quadrant view shows large anechoic pleural fluid with spine sign (clear view of several thoracic vertebrae through effusion) and lung flapping i.e. large right pleural effusion. Nathan Kabariti MS4, Dr. Charles Murchison, Dr. John Riggins, Dr. Donald Doukas - Kings County Emergency Medicine

Source

https://www.thepocusatlas.com/lung


Metadata