Pulmonary - Pleural Space

← Back to List

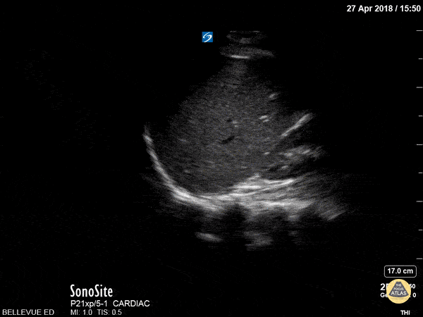
Pulmonary - Pleural Space

Caption

This is a view of the pleural space in the right upper quadrant. We see the isoechoic liver in the center of the screen and the superior pole of the kidney to the right. The superior edge of the liver is flush against the hyperechoic diaphragm. Deep to all of this we see the sinuate hyperechoic vertebrae of the spine. Note that the spine appears to stop at the level of the diaphragm – this is due to the fact that US waves do not transmit through the air-filled lungs, and is a normal finding. If the spine did extend beyond the diaphragm (“spine sign”) that would suggest the presence of an effusion. The area above the diaphragm which comes into view when the patient inhales is the same echotexture as the liver (“mirror image artifact”), further indicating that there is only air above the diaphragm and not effusion or consolidation. Hannah Kopinksi and Dr. Lindsay Davis - NYU Emergency Medicine

Source

https://www.thepocusatlas.com/lung


Metadata