Pulmonary - Pleural Effusion

← Back to List

Pulmonary - Pleural Effusion

Caption

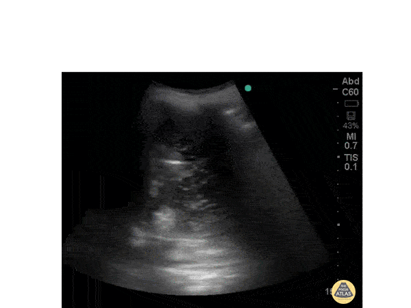
Patient of chronic renal failure with signs of fluid overload and bilateral pleural effusion on chest radiograph.POCUS ---Echogenic material within the fluid. Echogenic material seen within the fluid- Suggestive of Exudative pleural effusion. Transudative pleural effusion will be non echogenic. Dr. Ramachadran

Source

https://www.thepocusatlas.com/lung


Metadata