Pulmonary - Lung Point
Caption
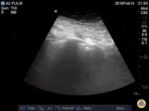
29F in motor vehicle accident w/ right hemo/pneumothoarx. Lung point is demonstrated marking the transition of normal pleural to pneumothorax. This is the most specific sign of pneumothorax. Greg Powell, MD
29F in motor vehicle accident w/ right hemo/pneumothoarx. Lung point is demonstrated marking the transition of normal pleural to pneumothorax. This is the most specific sign of pneumothorax. Greg Powell, MD