Pulmonary - Compression Atelectasis
Caption
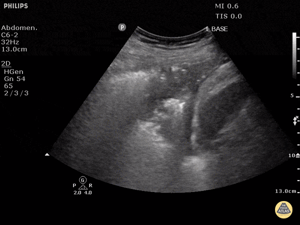
The left lung base can be seen with some b-lines indicating atelectasis, with trace pleural effusion. Dr. Justin Bowra et al.
The left lung base can be seen with some b-lines indicating atelectasis, with trace pleural effusion. Dr. Justin Bowra et al.