Bowel-GI - SBO Demonstrating To-and-Fro Peristalsis

← Back to List

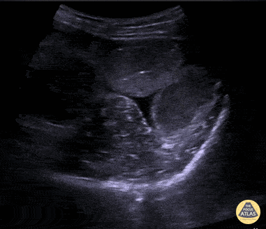
Bowel-GI - SBO Demonstrating To-and-Fro Peristalsis

Caption

Middle age male patient with past history of multiple abdominal surgeries, presented with clinical picture of intestinal obstruction. POCUS was performed demonstrating dilated bowel loops up to 3.3 cm with clear "to-and-fro" movements of bowel contents on the right side of the screen. Learning point: Keep the ultrasound probe still and wait for enough time to allow the back and forth "to-and-fro" movements of the bowel content. Contributor: Basel Elmegabar; MBBS

Source

https://www.thepocusatlas.com/bowel


Metadata