Blog - Bedside Ultrasound For Acute Appendicitis - Featuring Colorized Images

← Back to List

Blog - Bedside Ultrasound For Acute Appendicitis - Featuring Colorized Images

Caption

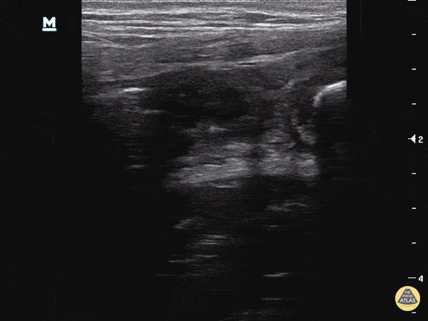
Appendicolith/Fecalith Appendicolith within the lumen, appearing as a hyperechoic structure with shadowing

Source

https://www.thepocusatlas.com/new-blog/appendicitis


Metadata