Pulmonary - Pulmonary Embolism (B mode)

← Back to List

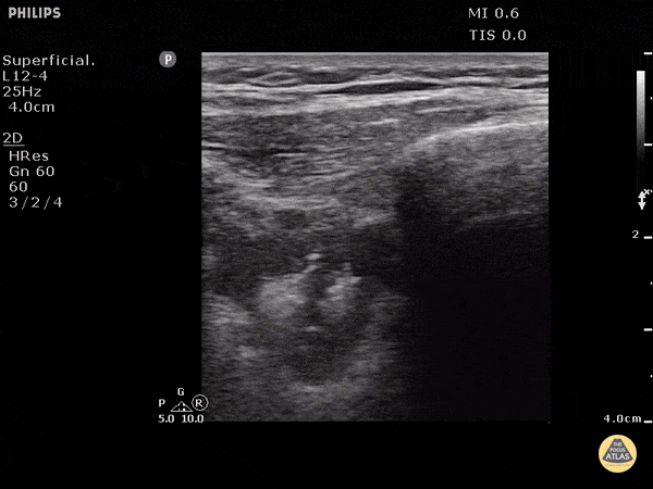
Pulmonary - Pulmonary Embolism (B mode)

Caption

PE with linear probe in B mode. Pulmonary embolism can be seen by disruption of the pleural line. 0.5cm to 3cm disruptions are typical for PE. Doing DVT studies and echo can help strengthen your diagnosis. Dr. Justin Bowra et al.

Source

https://www.thepocusatlas.com/lung


Metadata