Pulmonary - Lung Consolidation with Mirror Artifact

← Back to List

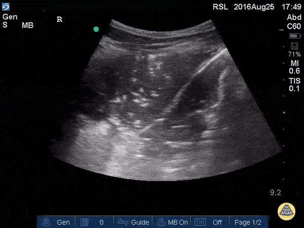
Pulmonary - Lung Consolidation with Mirror Artifact

Caption

A consolidated right upper lung can be seen above the fissure which is to the left (superior) in this image. There is hepatization of the lung with static and dynamic air bronchograms. These represent air with fluid filled alveoli around them. Dynamic air bronchograms are pathognomonic for pneumonia and represent air bubbles moving through the otherwise fluid filled tissue. Hepatization refers to lung tissue that looks like the liver and represents consolidation. Mirror artifact can be seen below (to the right) of the fissure as the fissure is a highly reflective surface. Justin Bowra MBBS, FACEM, CCPU Emergency Physician, RNSH et al.

Source

https://www.thepocusatlas.com/lung


Metadata