Pulmonary - Large Pleural Effusion

← Back to List

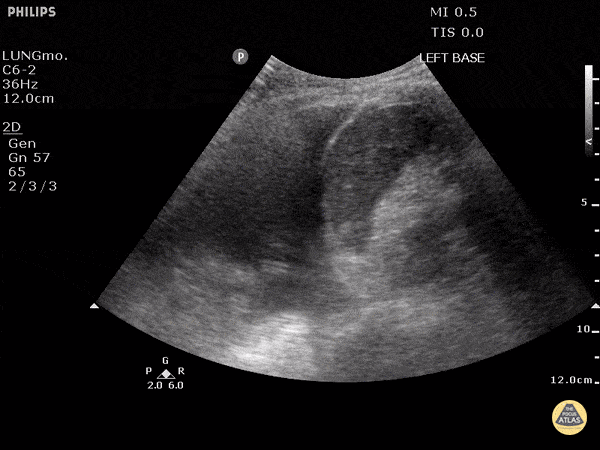
Pulmonary - Large Pleural Effusion

Caption

The left lung can be seen freely floating in anechoic fluid on the left side of the screen. Also pictured, the diaphragm, spleen, and edge of the beating heart. Justin Bowra MBBS, FACEM, CCPU Emergency Physician, RNSH et al.

Source

https://www.thepocusatlas.com/lung


Metadata