Pulmonary - PLAPS

← Back to List

Pulmonary - PLAPS

Caption

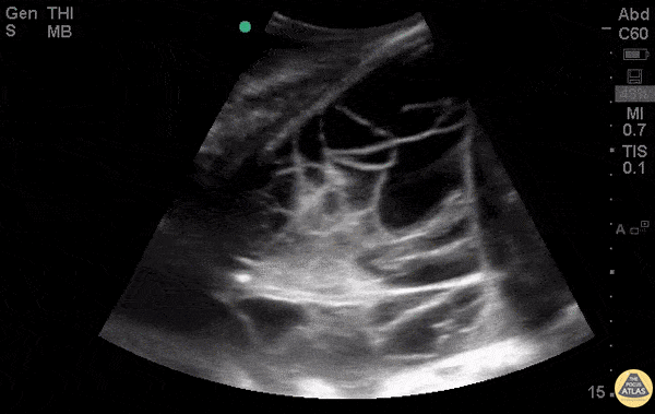
WCUME 2017 Submission for "Best POCUS" 26 y/o M with Hodgkin Lymphoma with a very complicated, septated, fluid-filled PLAPS - posterolateral alveolar or pleural syndrome. Aspiration of the fluid was exudative. Dr. Yasmin Sadri Savadjani - Firoozgar General Hospital

Source

https://www.thepocusatlas.com/lung


Metadata