Pulmonary - Jellyfish Sign

← Back to List

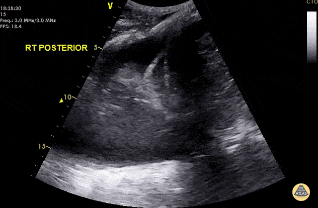
Pulmonary - Jellyfish Sign

Caption

Hypotensive septic elderly male. Right lung base shows a positive spine sign, jellyfish sign and shred sign indicating right basal pneumonia and a parapneumonic pleural effusion. Dr. Cian McDermott - Dublin, Ireland A spine sign occurs when fluid or consolidation in the lung allows for transmission and visualization of the spine superior to the diaphragm. A jellyfish sign represents compressed and airless (atelectatic) lung tissue floating within an effusion, also known as "lung flapping." The shred sign is a hyperechoic artifact created at the transition point between solidified (pathologic) and aerated lung.

Source

https://www.thepocusatlas.com/lung


Metadata