Pulmonary - Pleural Effusion, Mass

← Back to List

Pulmonary - Pleural Effusion, Mass

Caption

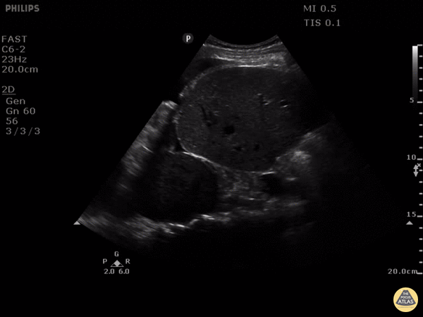
PLEURAL EFFUSION, THE SPINE SIGN AND SOMETHING ELSE… This is a clip of a 46 year old woman that presented to ED with gradual onset of severe right-sided chest pain, pleuritic, associated with tachycardia but normal blood pressure. She was mildly tachypneic but not hypoxic, unable to lie down as that exacerbated her pain. The clip shown here is of the patient's right upper quadrant and right lung base. The spine sign is seen along with a right pleural effusion and a circumscribed mass 8 x 6 cm with likely compressive atelectasis and mass effect of the right hemidiaphragm. The effusion was drained obtaining almost 1L of blood, and the CT scan reported very close findings to the ones seen with POCUS a few seconds after patient arrival. Put the probe on your chest pain patients! Maria Perez; Emergency Registrar; St Vincent’s Hospital; Melbourne - Australia

Source

https://www.thepocusatlas.com/lung


Metadata