Pulmonary - Bar Code Sign - Pneumothorax

← Back to List

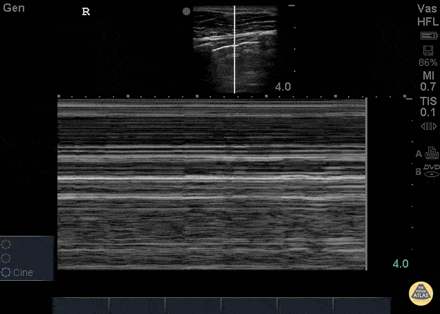
Pulmonary - Bar Code Sign - Pneumothorax

Caption

26 yo male presents to ED stating he was kicked in the chest. He went home to “try to relax and smoke some weed” now short of breath and with pleuritic chest pain after smoking. POCUS demonstrating decreased lung slide on the left. This can be seen as decreased lung sliding - In normal lungs, lung sliding refers to the parietal pleura moving against the visceral pleura - described as “ants marching.” M-mode can be used to evaluate lung sliding. Remember, normal lung slide will look like a seashore on M-mode whereas a pneumothorax will appear as horizontal lines termed Bar Code sign (pictured here). Make sure to check in the most anterior fields as well at lateral lung fields. Dr. Stacey Frisch, Dr. John F Kilpatrick - Kings County Emergency Medicine

Source

https://www.thepocusatlas.com/lung


Metadata