Pulmonary - B lines - Aspiration Pneumonitis

← Back to List

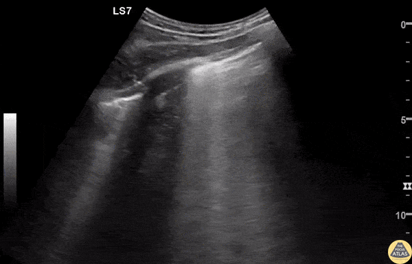
Pulmonary - B lines - Aspiration Pneumonitis

Caption

A 30s M presented to the ED after he was found down in the setting of substance use. He received naloxone from EMS with good response, but on arrival to the ED was hypoxic and in respiratory distress, requiring maximum levels of respiratory support. POCUS was performed, showing extensive confluent B lines in both lungs, though worse on the right, suggestive of the alveolar interstitial syndrome and concerning for aspiration pneumonitis. The patient required intubation for work of breathing, and was admitted for further management. Dr. James Sutton, PGY2 Denver Health Residency in Emergency Medicine

Source

https://www.thepocusatlas.com/lung


Metadata