Pulmonary - Malignant Pleural Effusion

← Back to List

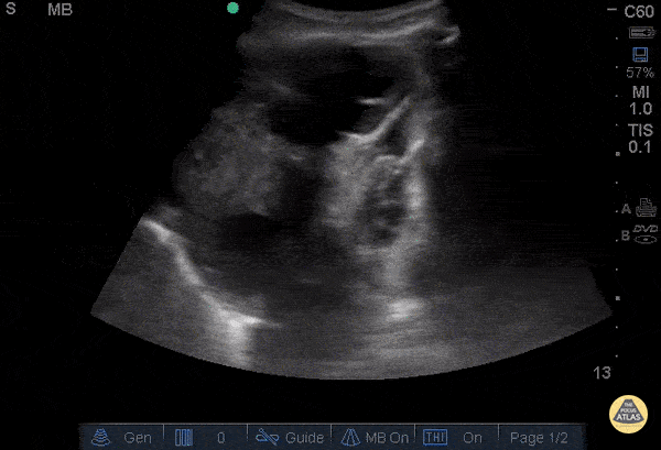
Pulmonary - Malignant Pleural Effusion

Caption

This is a clip of an elderly gentleman, who was called as a respiratory distress code while walking to clinic without his home oxygen. Initially, patient was tachycardic, tachypnic, and hypoxic to mid 80s on RA, however normotensive in mild respiratory distress, resolved with 3L O2 by nasal canula. This clip here was obtained by having the patient in the upright position, with the probe in the left lung base. You can see the diaphragm on the left side of the clip, with multiple loculated pleural effusions in left lung base adjacent to compressive atelectasis vs cardiac activity. The effusion was later drained, found to be a malignant effusion, with a subsequent biopsy showing a Non-Small Cell CA in the left upper lobe and Squamous Cell CA in the right upper lung. Chris Hanuscin, MD and John F. Kilpatrick, MD

Source

https://www.thepocusatlas.com/lung


Metadata