Pulmonary - Pulmonary Contusion

← Back to List

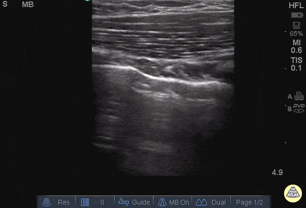
Pulmonary - Pulmonary Contusion

Caption

25 y/o female in and MVA with hypotension, hypoxia. Normal lung with A lines can briefly be seen until the sonographer moves the probe superiorly to reveal and area of B lines adjacent to A line. In the setting of trauma this is consistent with Pulmonary Contusion. Images: Dr. Catharine Bon - Kings County Hospital Emergency Medicine

Source

https://www.thepocusatlas.com/lung


Metadata