Pulmonary - Diaphragmatic Contraction

← Back to List

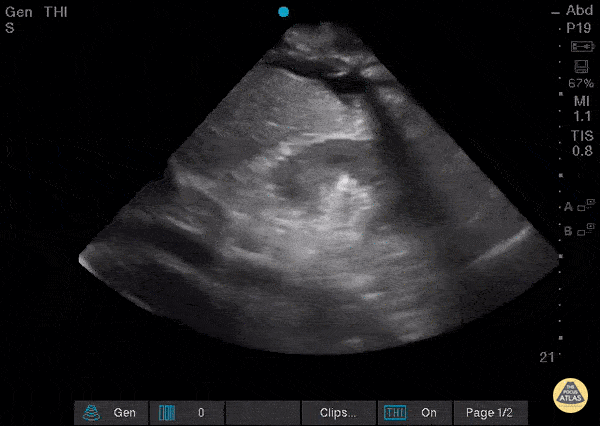
Pulmonary - Diaphragmatic Contraction

Caption

A 61-year-old female with history of chronic Hepatitis C, end-stage liver disease, and pulmonary hypertension presented to the emergency department complaining of increasing dyspnea and abdominal distension over the last 10 days. Point-of-care ultrasonography of the right upper quadrant showed large anechoic fluid collections in the pleural space and intra-abdominal cavity, with a "spine" sign visible and with distinct “flopping” of the diaphragm over the caudal tip of the cirrhotic liver with each respiratory cycle. A great view of diaphragmatic contraction in a patient with dyspnea! Scott Brensel, MS-IV, Touro College of Osteopathic Medicine California

Source

https://www.thepocusatlas.com/lung


Metadata