Pulmonary - Pleural Effusion

← Back to List

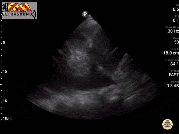
Pulmonary - Pleural Effusion

Caption

This 80 year old male with a history of Alzheimer's with recent accelerated decline experienced a fall from bed. Though the only visible trauma involved a laceration above the right eye, globally diminished breath sounds were noted, and a prehospital eFAST exam was performed. Pictured is a large, right-sided pleural effusion, with visible spine sign observed during the exam. No other abnormalities were observed. With the absence of significant chest trauma, the effusion was assumed to be non-traumatic in origin. Due to the patient's recent rapid decline, family elected to manage conservatively, and the patient was admitted to palliative care. - Tom Hudson, NRP, CCP-C (Richmond Volunteer Rescue Squad)

Source

https://www.thepocusatlas.com/lung


Metadata