Pulmonary - Spine Sign - Pleural Effusion
Caption
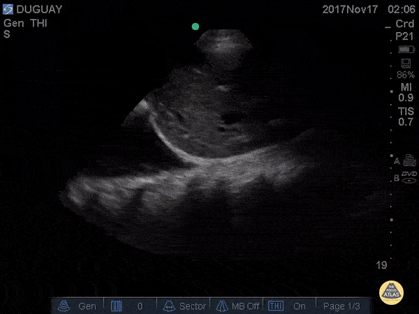
RUQ scan with large R pleural effusion. Spine sign+ (clear view of several thoracic vertebrae through the effusion) Gary Duguay
RUQ scan with large R pleural effusion. Spine sign+ (clear view of several thoracic vertebrae through the effusion) Gary Duguay