Bowel-GI - Acute Diverticulitis

← Back to List

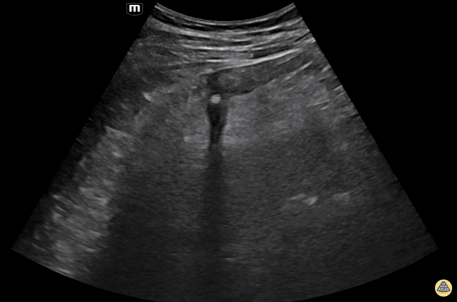
Bowel-GI - Acute Diverticulitis

Caption

60 year old man presenting with left lower quadrant pain and fever. POCUS was performed and revealed a thick-walled colon and associated diverticula with surrounding hyperechoic fat stranding. Inside the pouch there's an echogenic structure casting deep shadowing consistent with a fecalith. Alessandro Lena

Source

https://www.thepocusatlas.com/bowel


Metadata