Pulmonary - B-Lines - Pulmonary Edema

← Back to List

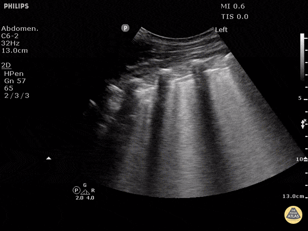
Pulmonary - B-Lines - Pulmonary Edema

Caption

B-lines obtained with curved probe. B-lines are vertical artifacts that move with respiration from the pleural surface. They represent increased water in an area of the lung. In the right clinical context this could represent pulmonary edema. An increase in B-lines correlates with the degree of pulmonary edema. 3 B-lines in an intercostal space represent a "positive" region of the lung, and if there are two regions of the lung that are positive, you can diagnose pulmonary edema. Dr. Justin Bowra et al. (Dr. D Browne and Dr. J Knights)

Source

https://www.thepocusatlas.com/lung


Metadata