Pulmonary - Dynamic Air Bronchograms in Pneumonia

← Back to List

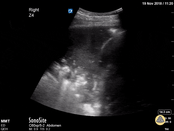
Pulmonary - Dynamic Air Bronchograms in Pneumonia

Caption

This patient actually had no cough, no crackles and only subtle changes on CXR but in seconds we had diagnosed pneumonia! Dynamic air bronchograms represent air bubbles moving up and down airways surrounded by alveolar consolidation. Lichtenstein et al compared this finding to static air bronchograms in a 2009 study of 68 ICU patients and found dynamic air bronchograms to be present in 32/52 cases of pneumonia but in only 1/16 cases of atelectasis - a specificity of 94%. Dr. Trauer

Source

https://www.thepocusatlas.com/lung


Metadata