Pulmonary - Classic Findings in Pneumonia

← Back to List

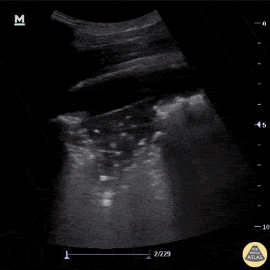
Pulmonary - Classic Findings in Pneumonia

Caption

Pictured here are classic ultrasound findings for pneumonia including a shred sign, lung consolidation with dynamic air bronchograms and a small associated parapneumonic effusion. Note also adjacent B-lines. A shred sign represents the distinction between the consolidated lung and the aerated lung and is seen in this clip as the irregular “shredded” border just posterior to the consolidation. Aaron Inouye, PA-C, North Canyon Medical Center @PAintheED

Source

https://www.thepocusatlas.com/lung


Metadata